
Powerful AI diagnostics designed for confidence and clarity.
Free for a limited time.
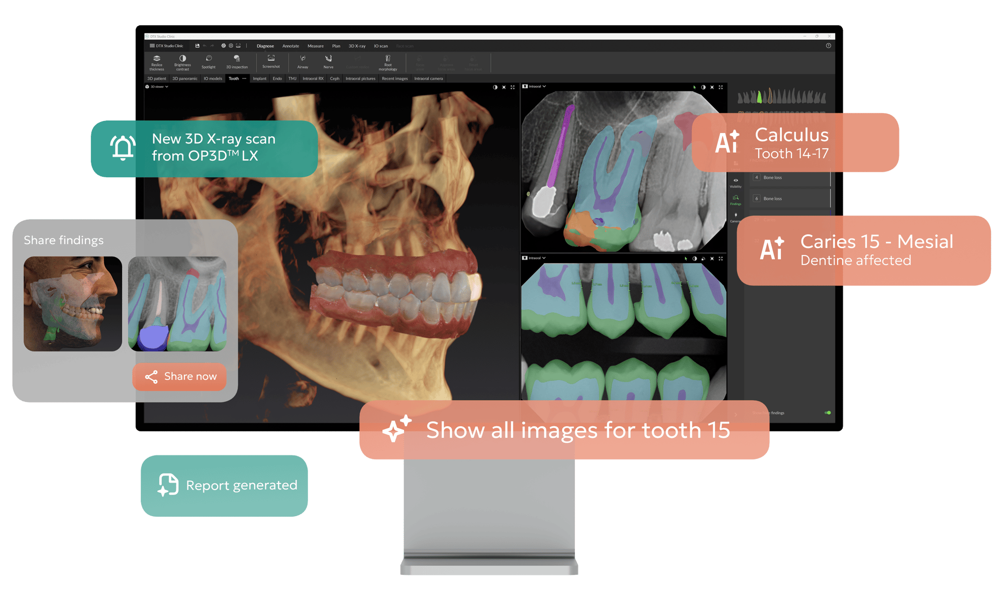
DEXIS AI Diagnostics is designed to support clinicians where time and clarity matter most. Fully integrated into existing DEXIS workflows, DEXassist solution helps surface meaningful insights, so you can review cases faster, communicate more clearly, and stay in control of every diagnostic decision.
Why it works:
DEXassist solution is our most advanced AI feature set—built to support diagnostic accuracy, efficiency, and communication across 2D and 3D imaging.
DEXIS AI Month is a limited‑time invitation to experience AI diagnostics technology designed for real clinical impact.
Eligible clinicians can access DEXassist Solution at no additional cost through May 31, 2026—with no contracts, no complexity, and no workflow disruption.
This isn’t a promotion.
It’s an opportunity to experience AI where it matters most: in real clinical scenarios.
DEXassist solution integrates naturally into your daily workflow, helping you:
AI support—without changing how you practice.
Already using DTX Studio Clinic?
You’re good to go.
DEXassist is already live in your workflow. No activation required—just open DTX Studio Clinic and start using AI today.
Using v10?
You can activate DEXassist today, free during DEXIS AI Month.
Using v9?
Upgrade to v10 and get:
*DEXassist requires DEXIS Imaging v10.
types of dental findings
% faster AI diagnostics review
minute AI implant planning
Built Different—On Purpose
FDA-cleared and clinically validated to support diagnostic confidence. Supporting 120M findings in 2025.
Among the most advanced AI solutions in dental imaging—fully integrated, no workflow disruption.
We believe meaningful innovation should be experienced in real clinical scenarios, not just explained.
Eligibility depends on the DEXIS software you are currently using:
Eligible clinicians can access DEXassist Solution at no additional cost through May 31, 2026 as part of DEXIS AI Month.
No. DEXassist is fully integrated into your existing DEXIS environment.
Yes. Eligible users can access DEXassist Solution at no additional cost through May 31, 2026.
DEXassist requires DEXIS Imaging Suite v10.4 or DTX Studio™ Clinic v3.4. Version requirements and upgrade options are outlined during form submission.
Yes. DEXassist Solution is FDA cleared and clinically validated.
To access the AI functionality, complete the form on this page to confirm eligibility and determine next steps on getting access. Activation will vary depending on what software and version you are currently using.
If you choose to, we’d love to have you share your experience using #DEXISAI and tag @dexisimaging. Sharing is completely optional and not required to participate.
We believe the value of AI diagnostics is best understood through real use—not explanation. DEXIS AI is designed to support clinicians in day‑to‑day practice, and DEXIS AI Month gives you the opportunity to experience it on your own cases, within your existing workflow.
DEXassist solution is DEXIS’s AI‑powered diagnostic assistant for 2D imaging. It helps highlight clinically relevant findings to support faster, clearer, and more consistent diagnostic review—while keeping clinicians fully in control of all decisions.
Click the DEXIS logo in the upper right-hand corner of your software.
Select "Preferences", after select "Component Licensing" and copy the data from the "Practice name" and "Telephone number" fields.
Terms and conditions apply.
For a limited time, DEXIS is offering temporary complimentary access through May 31, 2026 to the DEXassist™ solution , including its advanced AI enabled feature set, to eligible licensed dental clinicians using DEXIS Imaging v10.4 or later or DTX Studio™ Clinic v3.4 or later. Temporary DEXassist Solution access granted through this promotion will expire after May 31, 2026. Licensed clinicians currently using DEXIS Imaging v9 or DTX Studio Clinic versions earlier than v3.4 must upgrade to an eligible version to receive access to the DEXassist solution and are eligible for 50% off the applicable software upgrade during the promotional period. The AI-enabled features are intended to support clinical workflows and does not replace professional clinical judgment. Clinicians remain solely responsible for all diagnostic, treatment, and patient care decisions, as well as compliance with applicable laws and regulations. Offer is non transferable, has no cash value, and is subject to eligibility and applicable regulatory approvals. DEXIS reserves the right to modify, suspend, or discontinue this offer at any time. Continued access beyond the promotional period may require a paid subscription. Use of DEXassist Solution is subject to the applicable DEXIS End User License Agreement, Terms of Use, and Privacy Policy. Feature availability varies by region and is subject to local requirements and restrictions.
DX02193/Rev00